Tumorembolie

Search for glossary terms (regular expression allowed)

Glossaries

Term Definition
Tumorembolie

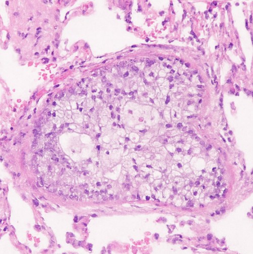
Tumorembolie: Präsenz von vitalen Tumorzellen/Zellverbänden (Tumoremboli) in Blut- oder Lymphgefäßen. Ablösung vom Primärtumor, Zirkulation im Gefäßsystem. Zentraler Schritt der Metastasierung.

Pathogenese
  • Intravasation: Durchbruch von Basalmembran/Endothel durch Tumorzellen. Ermöglicht durch EMT und proteolytische Enzyme (MMP-2, MMP-9).
  • Dissemination & Überleben: Transport der Tumoremboli via Blut-/Lymphstrom. Interaktion mit Thrombozyten ('Schutzmantel'), Schutz vor Scherkräften, Immunmodulation.
  • Arrest & Extravasation: Anheftung der Tumoremboli an Zielorgan-Endothel (z.B. via Selektine, Integrine). Extravasation ins Zielgewebe, oft mit MET.
Histologie
  • Nachweis atypischer, vitaler Tumorzellverbände in Gefäßlumina (oft mit Kernatypien, erhöhter Mitoseaktivität).
  • Oft assoziiert mit Fibrin, Thrombozyten, Erythrozyten (Mikrothromben) – verstärkt Embolusbildung.
Klinische Relevanz
  • Ausdruck invasiver Tumorprogression und systemischer Streuung.
  • Erhöhtes Metastasierungsrisiko in Fernorganen.
  • Negativer Prognosefaktor (Überleben).
  • Potenzielle Organfunktionsstörung durch Gefäßokklusion/Ischämie (z.B. Lungenembolie bei massiver Embolisierung).
Typische Lokalisationen
  • Lunge, Leber, Knochenmark, Nieren, Lymphknoten (entsprechend Blutversorgung/Primärtumoren).
Synonyms: Tumorembolien,Tumorembolus
Wir benutzen Cookies

Wir nutzen Cookies auf unserer Website. Einige von ihnen sind essenziell für den Betrieb der Seite, während andere uns helfen, diese Website und die Nutzererfahrung zu verbessern (Tracking Cookies). Sie können selbst entscheiden, ob Sie die Cookies zulassen möchten. Bitte beachten Sie, dass bei einer Ablehnung womöglich nicht mehr alle Funktionalitäten der Seite zur Verfügung stehen.