Fettembolie

Search for glossary terms (regular expression allowed)

Glossaries

Term Definition
Fettembolie

Die Fettembolie ist die systemische Verschleppung von Fetttröpfchen in die Blutbahn, v.a. nach Traumata. Sie führt zu mechanischer Okklusion und toxischen Effekten, oft als Fettembolie-Syndrom manifest.

Ätiologie & Pathophysiologie
  • Ätiologie:
    • Traumatisch (häufig): Frakturen langer Röhrenknochen/Becken, Weichteilverletzungen.
    • Nicht-traumatisch (selten): Pankreatitis, schwere Verbrennungen, Reanimation.
  • Pathophysiologie: Fetttröpfchen verursachen mechanische Okklusion kleiner Gefäße (Lunge, Gehirn, Haut). Freigesetzte toxische Fettsäuren schädigen Endothelzellen, lösen Entzündung/Ödembildung aus.
Klinik (Fettembolie-Syndrom)
  • Beginn: Klassisch 24-72h post Trauma (auch später).
  • Die klassische Gurd-Trias umfasst:
    • Respiratorisch: Dyspnoe, Tachypnoe, Hypoxämie bis ARDS.
    • Zentral neurologisch: Verwirrtheit, Agitation, fokale Defizite, Koma.
    • Dermatologisch: Nicht-blanchierbare Petechien (Thorax, Nacken, Axillen).
  • Labor: Anämie, Thrombozytopenie, erhöhte Lipase, CRP, D-Dimere. Evtl. Hypokalzämie bei ARDS.
Diagnose, Therapie & Prognose
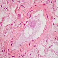
  • Diagnose: Klinisch anhand der Trias (Gurd-Kriterien). Histologischer Nachweis (Biopsie/Autopsie) beweisend, klinisch selten relevant. Bildgebung (CT) unterstützend.
  • Therapie: Supportiv, intensivmedizinisch. Sauerstoff/Beatmung, Flüssigkeits-, Kreislaufstabilisierung. Keine kausale Therapie.
  • Prävention: Frühe, stabile Frakturfixation langer Röhrenknochen (<24h). Schonende OP-Techniken.
  • Prognose: Potenziell lebensbedrohlich (Letalität 5-15% beim Syndrom). Überlebende erholen sich meist vollständig, neurologische Residuen möglich.
Synonyms: Fettembolien
Wir benutzen Cookies

Wir nutzen Cookies auf unserer Website. Einige von ihnen sind essenziell für den Betrieb der Seite, während andere uns helfen, diese Website und die Nutzererfahrung zu verbessern (Tracking Cookies). Sie können selbst entscheiden, ob Sie die Cookies zulassen möchten. Bitte beachten Sie, dass bei einer Ablehnung womöglich nicht mehr alle Funktionalitäten der Seite zur Verfügung stehen.